Auto-
There is built-in blame-laying in the “auto” of auto-immune, described as the immune system misrecognizing your own body as both threat and threatened. If only you were calmer and more controlled, reasonable and reasoned, more measured, more competent, more adept and accurate, if you’d handled life’s stressors more gracefully, not tried so hard or been so independent or had better supports to lean on, this would not have happened.
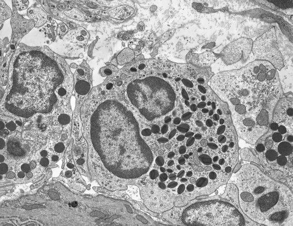
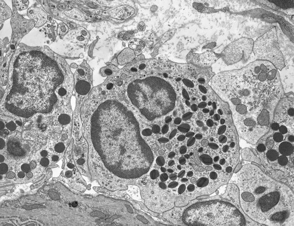
Graves’ disease is the immunological production of a thyrotropin receptor antibody, leading to too much thyroid hormone heightening the metabolism unsustainably, thinning the bones, bulging the eyes, and skipping heartbeats. Rheumatoid arthritis begins with inflammation of the synovial tissues, the delicate connective tissue lining, normally a microscopic 2-3 cells thick. Sjögren disease starts with white blood cells breaching and damaging the salivary and tear glands, drying every damp orifice. In Lupus, T and B cells become overactive, producing autoantibodies the nucleic material of the cells and the proteins of cellular membranes.
The medical language of auto-immune disease is war-torn (infiltration, destruction) and trickery (maladaptive, misdirected); the medical equivalent of playing “stop hitting yourself'“ with your sibling. It is victim-blaming at it’s medical finest; akin to blaming a lover for inciting jealousy or attracting desire or the newcomer for the town’s hardships.
In most chronic illness, the medical model blames the patient for not fighting harder or complying with protocols. In autoimmune disease, blame is already etched into DNA, a birth-curse awakened through environmental triggers. Autoimmune disease begets further autoimmune disease, because a revved engine does not only power one part of the car, and the patient becomes an unsolvable problem that does not fit neatly into any one medical specialty. It can manifest in every bodily system, from the gastrointestinal (e.g., Crohn’s) to the brain (e.g., Autoimmune encephalitis, Multiple Sclerosis).
But most autoimmune disease mechanisms of action are side effects, not direct immunological intent, and medical metaphors fail to capture the complex series of dominoes at play. The immune system isn’t an angry beast biting it’s own fingers to spite it’s hands or a scared inner child. It cannot be calmed by meditation, somatic therapy, or (as a specialist once suggested to me) watching soothing TV reruns. It is more like a mechanical component in a complex machine allowed to run too hot and inefficient until a vital series of things break.
In Long COVID, much research funding has been spent to determine if the disease is autoimmune or if the immune system is behaving reasonably to the continual threat of viral reservoirs, hiding in up to 30 different kinds of cells across the body. Less has been spent on helping the immune system slow down, reversing the damage of hyper-action, or understanding the particular immunological pressure of a system still flooded with COVID-triggered immune markers.
Patients are encouraged to take anti-histamines, but not told what function histamine plays in the immune system, or what consistently high levels do to the body. They’re instructed to hum or seek therapy to self-sooth their damaged autonomic nervous system, as though it is a rattled cat that can be coaxed inside for a meal and not a complex network built into the brain, spinal cord, and nervous ganglia. They’re directed to follow vaccine booster schedules, without consideration for whether their vaccine response will be preventative or cause further damage.
I have been thinking a lot about networks lately: how social groups and connections form and warp, what makes and breaks trust in people and systems, and makes them eat themselves (autolysis) or revolve autocratically around a centre. How easily misinformation or rumours snarl in willing ears, or simplistic metaphors for complex issues turn into whole cottage industries of pseudo-educational content online.
How, in 2024, we still blame the sick for their illness and isolation, for not automatically fighting off a virus whose transmission is only preventable with collective effort, and how patients absorb this fault, particularly in the absence of proactive medical care that would make it clear there are mechanisms at play that require active scientific intervention. I leave, as always, my door open for those with questions about what they read in this series, and hear in their doctor’s office.
The Impairing Curse is a long-form, serialized experiment in personal essay, science journalism, policy analysis, and poetry. To start at the beginning and read it in order, go to the first essay or read about the aesthetics and labour of illness, the science of salt, and the failures of public health. To support this project, share it online or subscribe. The series is intentionally not behind a paywall, to ensure broad access to patients and timely circulation of information in our evolving public health crisis, but paid subscriptions are welcome.

